Röntgendiagnostik

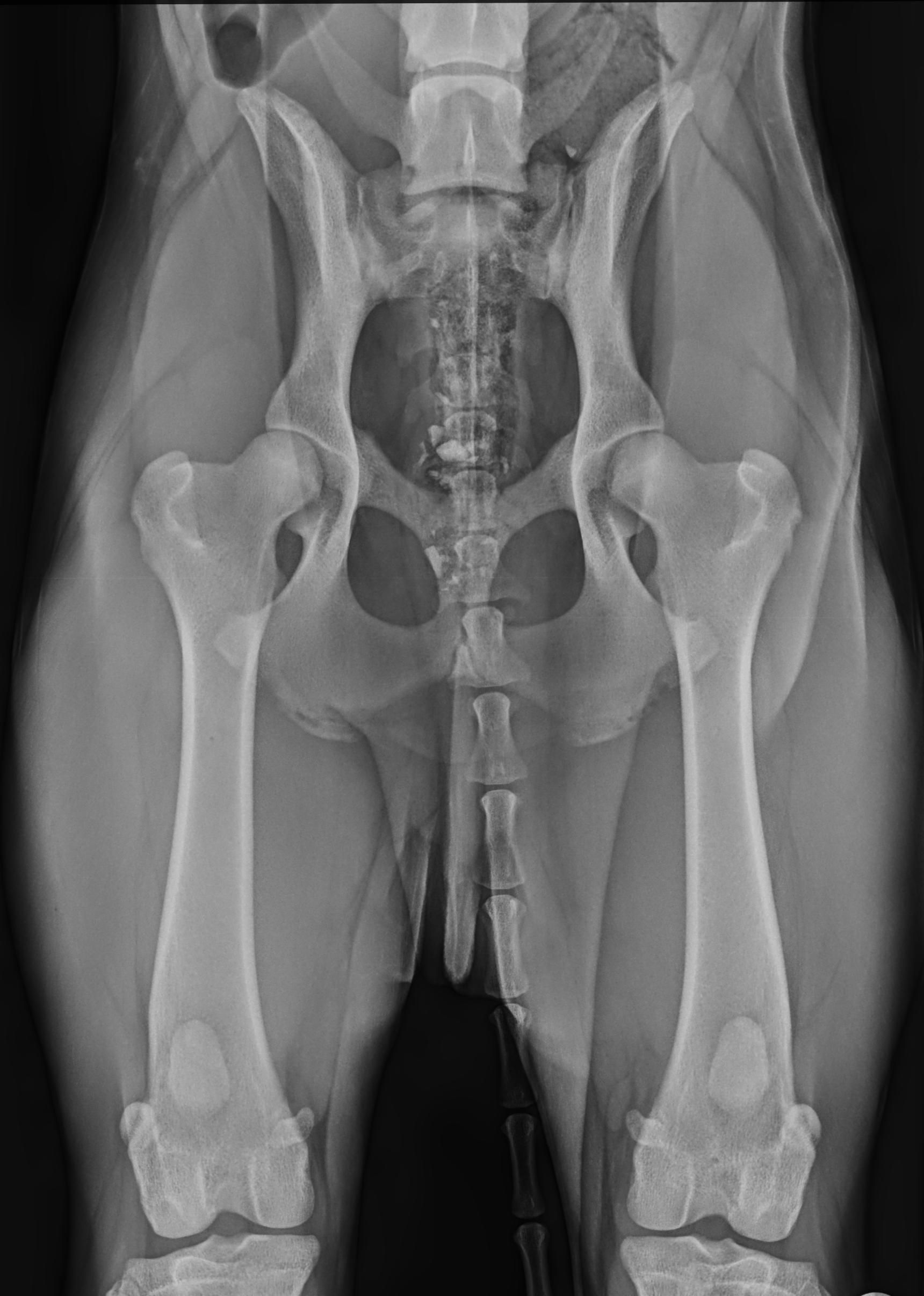
HD – Röntgenuntersuchung der Hüfte

HD steht für Hüftgelenksdysplasie und bedeutet eine Fehlentwicklung des Hüftgelenks. Betroffen sind davon vor allem Hunde großer Rassen. Die Erkrankung hat genetische (angeborene) Ursachen, aber auch Fehlfütterung oder eine Fehlbelastung können eine Rolle spielen. Eine frühzeitige Diagnose ist daher wichtig, da bis zum 10. Lebensmonat operative Korrekturen durchgeführt werden können. Werden diese bei einer HD Erkrankung nicht durchgeführt, kommt es unausweichlich zu einer Arthrose des betroffenen Gelenks. Als therapeutische Maßnahme ist dann die Implantation eines künstlichen Hüftgelenks möglich.

 

Daher empfehlen wir ein „Vorröntgen“ mit 6 Monaten, welches bereits sehr aussagekräftig ist. Ab dem 12. Lebensmonat kann dann ein offizielles Röntgenbild gemacht werden (zur Zuchtzulassung bzw. zur Zulassung zur Ausbildung zum Assistenzhund).

HD Grad A

HD Grad E

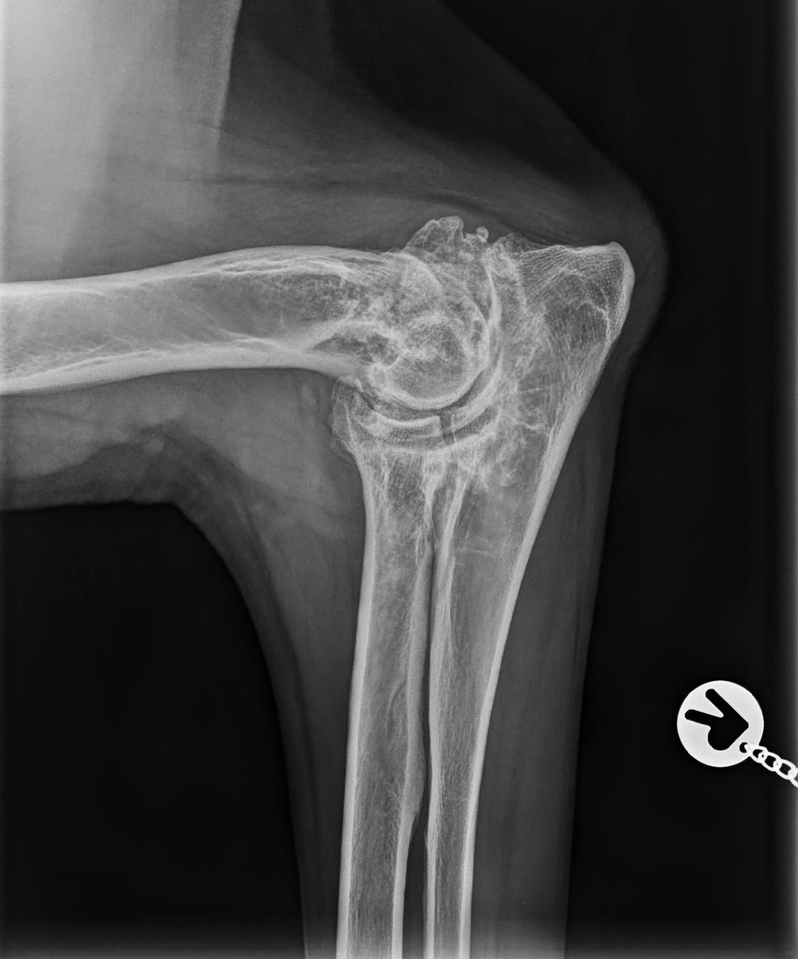
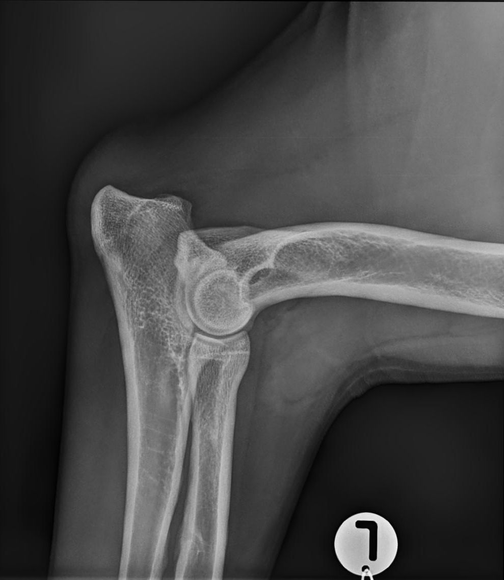
ED –Röntgenuntersuchung des Ellbogens

ED ist die Kurzform für Ellbogendysplasie. Es handelt sich hierbei um eine vererbte Entwicklungsstörung des Ellbogengelenks großer Rassen. Wiederum können Körpermasse und Fütterungsfehler die Krankheit begünstigen.

 

Die ED beginnt in der späten Wachstumsphase bei vier bis acht Monate alten Jungtieren. Dabei kommt es zu schmerzhaften Veränderungen am Gelenk, die die Bewegungsfreiheit einschränken und zu Lahmheit führen. Die Krankheit schreitet lebenslang fort und ist nicht heilbar, eine weitgehende Schmerzfreiheit kann aber in vielen Fällen erreicht werden.

ED Grad 0

ED Grad  3

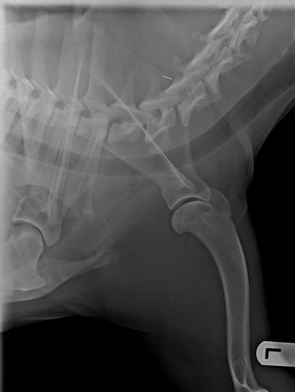
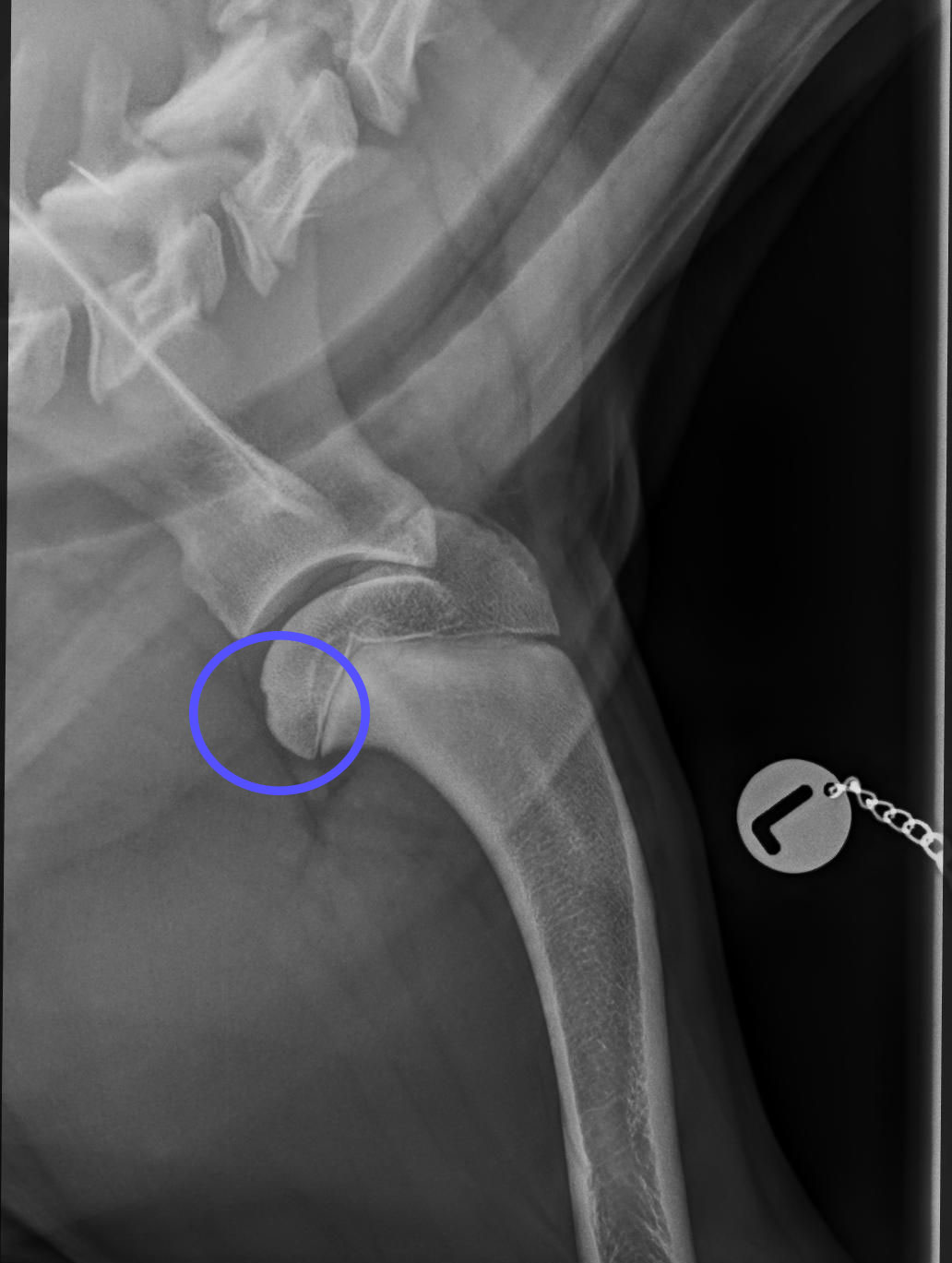
OCD – Röntgenuntersuchung des Schultergelenks

OCD oder auch Osteochondrosis dissecans entsteht durch eine Wachstumsstörung des Schultergelenks. Wiederum kommt die Erkrankung bei großen Rassen vor und entwickelt sich in der Regel beim Junghund zwischen vier und zwölf Monaten.

Bei der OCD löst sich – aufgrund einer Mangeldurchblutung – ein kleines Stück des Gelenksknorpels ab, wodurch eine Entzündung entsteht, die zu einer schmerzhaften Lahmheit führt. Wird das Knorpelstück entfernt, kann es zur völligen Ausheilung mit einer guten Prognose kommen.

Neben dem Schultergelenk können auch das Ellbogengelenk, sowie Knie und Sprunggelenk von einer OCD betroffen sein.

Um eine zuverlässige Auswertung der Röntgenaufnahmen zu ermöglichen, werden diese Untersuchungen standardmäßig in Vollnarkose durchgeführt, da bestimmte Lagerungen der Hunde nötig sind, die ohne Narkose nicht möglich sind.

Da die Veränderungen im Ellbogen bzw. in der Schulter am Röntgenbild oft nur sehr dezent wahrnehmbar sind, ist manchmal eine weiterführende Diagnostik (Computertomografie, Magnetresonanztomografie) notwendig – diese Untersuchungen führen wir in Zusammenarbeit mit Dr. Dietmar Schnötzinger, Tierklinik Schwanenstadt durch.

 

Röntgendiagnostik bei Dr. med. vet. Karin Taglinger im Bezirk Salzburg-Land

OCD Frei

OCD